잇몸병, 치료하지 않으면 치아가 위험해져요
잇몸병은 우리 치아 건강과 직결된 중요한 문제입니다. 적절한 치료와 예방을 통해 잇몸병의 위협을 줄일 수 있습니다.
잇몸병 정의와 종류
잇몸병은 잇몸에 염증이 생기는 질환으로, 초기에는 가벼운 증상으로 시작될 수 있습니다. 하지만 치료하지 않으면 염증이 심해져 결국에는 고통스러운 상태로 발전할 수 있습니다. 잇몸병 종류는 크게 잇몸염과 치주염으로 나누어집니다. 잇몸염은 잇몸에 혈액순환이 나빠지면서 발생하고, 치주염은 더욱 심각한 단계에 접어드는 것입니다. 두 경우 모두 초기에 치료하면 회복할 수 있지만, 방치할 경우 잇몸과 치아 모두에 심각한 영향을 미칠 수 있습니다.

특히 당뇨 잇몸병 환자는 더 많은 주의가 필요합니다. 당뇨로 인해 혈당이 높아지면 잇몸의 염증 반응이 더욱 심각해질 수 있습니다. 또한, 고양이의 경우에도 고양이 잇몸병 치료법이 중요합니다. 반려동물의 건강도 우리와 다르지 않으며, 잇몸병은 치아와 전반적인 건강에 중대한 영향을 미칠 수 있습니다. 따라서 이러한 정보를 잘 알고 계셔야 합니다.
잇몸병은 예방할 수 있는 질환입니다. 꾸준한 구강 위생 관리와 정기적인 치과 검진을 통해 잇몸병을 미리 막는 것이 중요합니다. 자신이나 반려동물의 잇몸 건강을 체크하는 것이 좋은 습관이 될 수 있습니다. 다음 단계에서는 잇몸병의 주요 증상에 대해 알아보겠습니다.
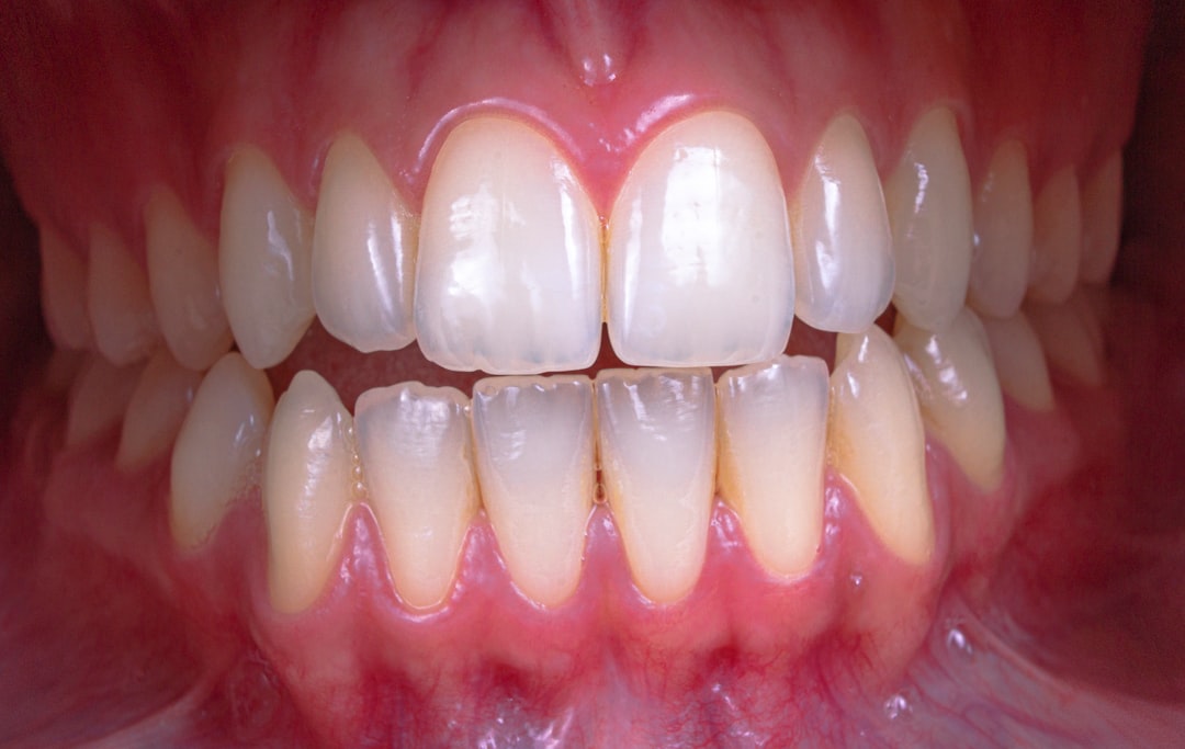
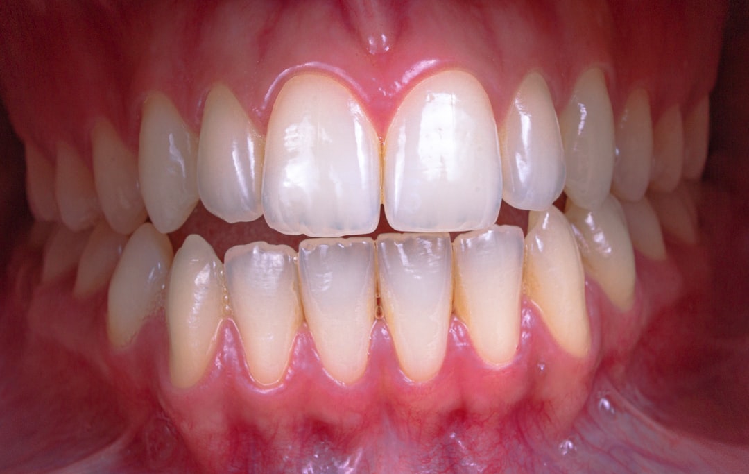
잇몸병 증상
잇몸병은 초기 증상이 경미하여 쉽게 간과될 수 있습니다. 예를 들어, 입에서 나오는 불쾌한 냄새, 잇몸에서의 출혈, 혹은 이상한 통증 등은 모두 잇몸병 증상 중 하나일 수 있습니다. 이러한 증상이 나타났다면 즉시 전문가의 도움을 받는 것이 좋습니다. 잇몸의 건강은 치아의 구조와 전반적인 구강 건강에 밀접하게 연결되어 있으니까요.
또한, 잇몸이 붉어지고 부풀어 오르는 것도 잇몸병의 대표적인 신호입니다. 특히, 양치질할 때 더 많은 출혈이 발생하면 이는 신속한 진단과 치료가 필요하다는 주의 신호입니다. 만약 이러한 증상이 지속된다면 방치하면 절대 안 됩니다! 치아에 더 많은 손상이 갈 수 있습니다.
잇몸병은 진행된 후에는 치료가 더욱 어려워집니다. 작은 증상이라 하더라도 크게 여기고 대처해야 합니다. 다음은 어떻게 치료할 수 있는지, 잇몸병 치료에 대해 알아보겠습니다.
잇몸병 치료 방법
잇몸병을 치료하는 방법은 다양합니다. 가장 기본적인 것은 올바른 양치질과 치실 사용으로 시작할 수 있습니다. 매일 꾸준히 관리한다면 잇몸병을 예방하고 초기에 치료할 수 있습니다. 치과 방문을 통해 전문적인 클리닝을 받는 것도 매우 효과적입니다. 잇몸병 약을 사용하여 염증을 줄일 수 있지만, 이 또한 의사의 진단과 처방이 필요합니다.
치료 방법에는 세 가지 단계가 있습니다. 첫 번째 단계는 스케일링입니다. 이를 통해 치태와 플라그를 제거하여 잇몸이 건강하게 회복할 수 있도록 합니다. 두 번째 단계에서는 필요한 경우 항생제를 통해 염증을 완화시키고 이후에는 주기적인 관리와 꾸준한 예방이 필요합니다.
마지막으로, 치료 후에는 반드시 혈당 관리와 식습관 개선이 필요합니다. 특히 전자담배 잇몸병에 대한 연구에서도 전자담배 사용이 치유를 방해하고 잇몸병의 악화를 초래할 수 있다는 점이 언급되고 있습니다. 이는 또한 치아에 대한 치명적인 피해를 가져올 수 있습니다. 따라서 건강한 습관을 유지하는 것이 중요합니다!
잇몸병 예방과 관리
잇몸병을 예방하는 것은 단순한 일처럼 보이지만, 이를 위해서는 몇 가지 필수적인 습관을 가져야 합니다. 첫 번째로는 정기적으로 치과에 방문하여 검진과 클리닝을 받는 것입니다. 이는 잇몸병의 초기 증상을 조기에 발견하고 조치할 수 있는 좋은 방법입니다.
두 번째는 평소의 식습관입니다. 채소와 과일을 충분히 섭취하고 설탕이 많은 음식을 줄이는 것이 잇몸 건강에 긍정적인 영향을 미칠 수 있습니다. 잇몸병 치료의 일환으로 올바른 식습관은 훨씬 더 효과적일 것입니다. 물을 충분히 마시는 것도 중요합니다. 물은 입안의 세균을 감소시키는 데 도움이 됩니다!
마지막으로, 잇몸병 예방을 위해 평소 스트레스를 줄이는 노력이 필요합니다. 스트레스는 면역력을 저하시켜 염증 반응을 악화시킬 수 있습니다. 따라서 요가나 명상 등의 방법으로 스트레스를 관리하는 것도 좋은 방법입니다. 나 자신을 소중히 여기는 시간이 필요합니다.
함께 읽어볼 만한 글입니다
고효율 가전 환급 서류 절차와 신청 방법 정리
고효율 가전 환급 서류 절차와 신청 방법에 대한 자세한 정보를 정리하였습니다. 필요한 자료를 손쉽게 준비하고, 환급을 받아보세요!고효율 가전 환급 제도 소개고효율 가전 환급 제도는 에너
story.chsam.co.kr
선지급제 지급시기 알아야 할 사항 총정리
선지급제 지급시기를 정확히 이해하고, 그 중요성을 인식하는 것은 본인의 권리를 보호하는 첫걸음입니다. 이 글에서 선지급제 지급시기에 대한 모든 것을 총정리하겠습니다.선지급제 지급시
story.chsam.co.kr
대출계산기로 쉽고 간편한 대출 이자 계산하기
대출계산기를 통해 대출 이자를 손쉽게 계산하는 방법을 알아보세요. 다양한 대출계산기를 이용해 개인의 상황에 맞는 대출 상품을 찾아보는 재미를 느껴보실 수 있습니다.대출계산기란 무엇
story.chsam.co.kr
결론 및 FAQ
잇몸병은 생각보다 훨씬 위험한 질환입니다. 우리가 소홀히 여기기 쉬운 잇몸의 건강을 지키기 위해 꾸준한 관리와 예방이 필요합니다. 이제 기본적인 정보와 관리 방법에 대해 배웠으니, 실질적인 조치를 취할 차례입니다. 다음의 질문과 답변을 통해 더 많은 정보를 확인해보세요!
자주 묻는 질문
Q1. 잇몸병 예방을 위해 어떤 습관이 필요할까요?
A1: 정기적인 양치와 치과 검진, 올바른 식습관, 스트레스 관리가 중요합니다.
Q2. 잇몸병 증상은 어떤 것들이 있나요?
A2: 입 냄새, 출혈, 부풀어 오른 잇몸 등이 일반적인 증상입니다.

Q3. 잇몸병 치료는 어떻게 하나요?
A3: 전문가의 치료와 함께, 꾸준한 자가 관리와 올바른 치아 위생이 필수적입니다.
댓글